コンテンツへスキップ ナビゲーションに移動
名古屋市中区(大須観音・東別院・山王)の歯科ホワイトニングは
名古屋中区東別院で歯医者によるホワイトニングなら久野歯科医院

ホワイトニング
専門サイト

  • ホワイトニングが
    初めての方へ
  • ボーテ式
    ホワイトニングが
    選ばれる理由
  • コース・料金
  • クリニック紹介
  • スタッフ紹介
  • ホワイトニング
    事例一覧
  • 診療時間
    アクセス
  • ホワイトニングコラム

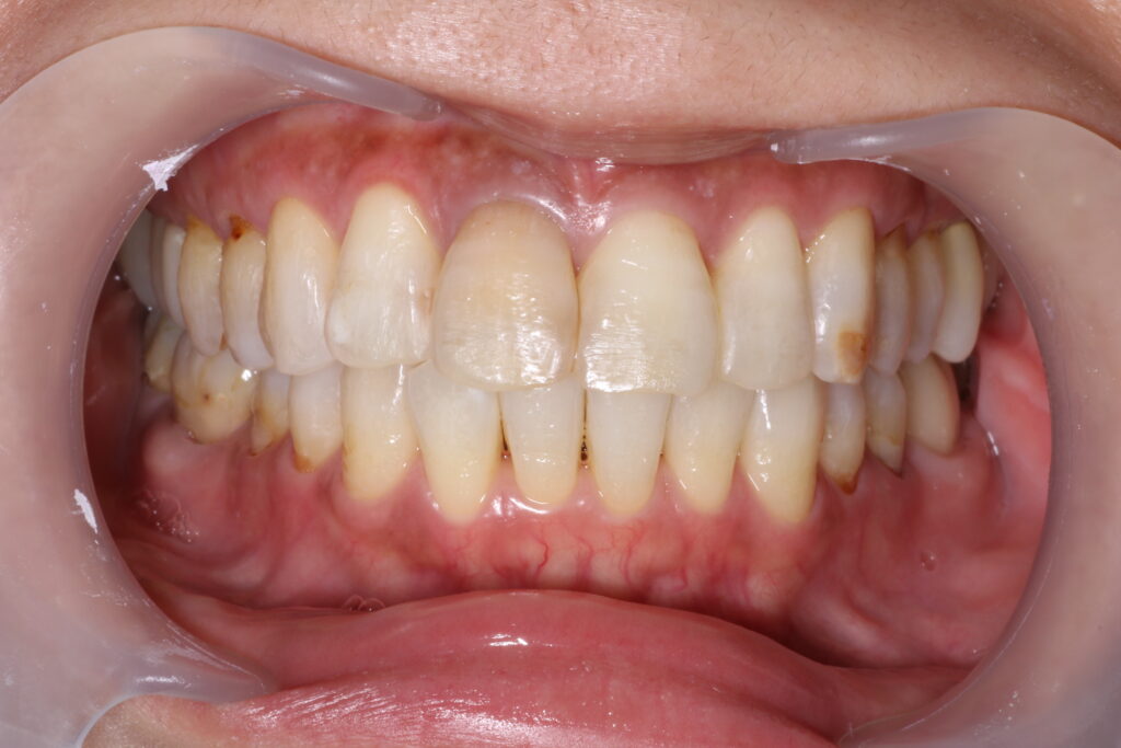
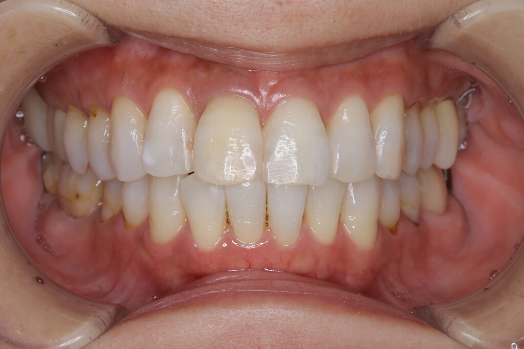
ホワイトニング事例8(40代 女性)

  1. Home
  2. ホワイトニングコラム
  3. ホワイトニング事例
  4. ホワイトニング事例8(40代 女性)

BEFORE

AFTER

お名前とご年齢

お名前:S様

ご年齢:40代

性別:女性

お住まい:熱田区大宝

施術コースと期間・費用

コース:デュアルホワイトニング2ヶ月コース

コースの種類はこちらから

期間:令和7年2月21日〜令和7年5月23日

費用:¥122,100

ホワイトニング事例
ホワイトニング事例16(60代 女性)
2025年9月25日
ホワイトニング事例
ホワイトニング事例15(30代 女性)
2025年9月25日
ホワイトニング事例
ホワイトニング事例14(20代 女性)
2025年9月25日
ホワイトニング事例
ホワイトニング事例13(60代 女性)
2025年9月25日
ホワイトニング事例
ホワイトニング事例12(50代 女性)
2025年9月25日
ホワイトニング事例
ホワイトニング事例11(50代 女性)
2025年9月25日
カテゴリー
ホワイトニング事例
前の記事
ホワイトニング事例7(60代 男性)
2025年9月23日
次の記事
ホワイトニング事例9(70代 女性)
2025年9月25日

最近の投稿

歯科医院で行う医療ホワイトニング完全ガイド!効果・費用・安全性の「最適解」について徹底解説!
2026年2月16日
初めてのホワイトニング完全ガイド!種類・痛み・失敗しない選び方を徹底解説!
2026年1月17日
【総額で比較!】後悔しない!ホワイトニングの種類別「費用相場」と「費用対効果」を徹底解説
2025年11月4日
歯磨き粉でのホワイトニングに限界を感じていませんか?本当に歯を白くする方法を歯科衛生士が徹底解説
2025年10月27日
ホワイトニング事例16(60代 女性)
2025年9月25日
ホワイトニング事例15(30代 女性)
2025年9月25日
ホワイトニング事例14(20代 女性)
2025年9月25日
ホワイトニング事例13(60代 女性)
2025年9月25日
ホワイトニング事例12(50代 女性)
2025年9月25日
ホワイトニング事例11(50代 女性)
2025年9月25日

ホワイトニング専門サイト

〒460-0017 愛知県名古屋市中区松原3-10-17

  • ホワイトニングが初めての方へ
  • ボーテ式ホワイトニングが
    選ばれる理由
  • コース・料金
  • クリニック紹介
  • スタッフ紹介
  • ホワイトニング事例一覧
  • 診療時間・アクセス
  • ホワイトニングコラム
  • プライバシーポリシー
  • ホワイトニングキャンセルポリシー
診療時間月火水木金土
9:30〜13:00●●●●●●
14:30〜18:30●●●●●▲
担当医院長
副院長
松下
院長
副院長
松下
副院長院長
松下
院長
副院長
松下
院長
副院長
松下

▲…土曜日午後は14:30〜17:30
受付時間は診療終了時間の30分前迄です
休診日:日曜日・祝日  予約優先制

© Kuno Dental Clinic

MENU
  • ホワイトニングが初めての方へ
  • ボーテ式ホワイトニングが
    選ばれる理由
  • コース・料金
  • クリニック紹介
  • スタッフ紹介
  • ホワイトニング事例一覧
  • 診療時間・アクセス
  • ホワイトニングコラム
  • プライバシーポリシー
  • ホワイトニングキャンセルポリシー
初回限定キャンペーン
電話予約