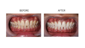
ホワイトニング事例10(30代 男性)
2025年9月25日
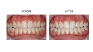
ホワイトニング事例9(70代 女性)
2025年9月25日
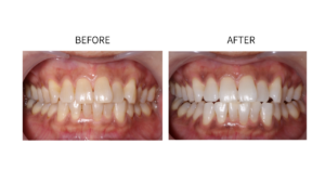
ホワイトニング事例8(40代 女性)
2025年9月25日
ホワイトニング事例7(60代 男性)
2025年9月23日
ホワイトニング事例6(40代 男性)
2025年9月23日
ホワイトニング事例5(50代 女性)
2025年9月23日
ホワイトニング事例4(40代 女性)
2025年9月23日
ホワイトニング事例3(30代 男性)
2025年9月23日
ホワイトニング事例2(20代 女性)
2025年9月23日
ホワイトニング事例1(30代 女性)
2025年9月19日










